1.2. Сущность нейромаркетинга. Виды нейромаркетинговых исследований и технологий
Нейромаркетинг возник во время технологического прорыва в области нейробиологии в ответ на потребность рынка в более точном и надежном понимании потребительских предпочтений. Задача нейромаркетинга – определить подсознательные мотивы человека и выделить первопричину решений, принимаемых им в пользу того или иного продукта [15, с. 328–337].
Традиционно маркетинг концентрирует свои усилия на повышении ценности товаров или услуг для потребителя и, как следствие, их конкурентоспособности на рынке. Более целостный подход к маркетингу – холистический маркетинг (holistic marketing) включает, помимо общепринятых маркетинговых подходов, эмоциональную составляющую процесса принятия решений [188]. В современных рыночных условиях на привлечение одного клиента нужно затратить в 40 раз больше усилий и средств, чем 20 лет назад. Концепция холистического маркетинга основана на планировании, разработке и внедрении интегрированных маркетинговых программ, процессов и мероприятий. Холистический маркетинг включает в себя четыре компонента: маркетинг взаимоотношений, интегрированный маркетинг, внутренний маркетинг и социально ответственный маркетинг (рис. 1).
Следовательно, холистический маркетинг – это подход, в котором делается попытка признать и сбалансировать различные междисциплинарные компетенции, задействованные в многогранной маркетинговой деятельности организации.

Рис. 1. Холистический маркетинг [5, с. 46–52]
Холистический подход к современной концепции маркетинга коррелирует и с новым понятием «маркетинг 3.0», предложенным Ф. Котлером, согласно которому маркетинговая деятельность компаний должна учитывать «биологическую природу потребителей, состоящую из четырех компонентов: физическое тело, разум, сердце и дух» [144, р. 34]. Иными словами, Ф. Котлер утверждает необходимость работы компаний в рамках своей маркетинговой деятельности с эмоциями, страхами и желаниями своих клиентов.
Первые работы нейрофизиологов, пытавшихся в своих исследованиях связать эмоции и электрические импульсы человеческого мозга, датируются 1979 г. [160, р. 133], а использование данных нейробиологии в брендинге и потребительской психологии можно встретить еще раньше. К примеру, в книге американского журналиста Венса Паккарда «Тайные манипуляторы» («The Hidden Persuaders»), опубликованной еще в 1957 г., рассматриваются «<…> возможности использования идей нейробиологии в области психиатрии и общественных наук, чтобы повлиять на наш выбор и наше поведение» [175, р. 1]. В своем труде В. Паккард призывает рыночных деятелей реализовывать глубокий подход к исследованию мотивов и причин потребительского поведения как способу научного познания неосознанных или бессознательных действий потребителей на рынке, поскольку «фактическое покупательское поведение часто отличается от того, что они сами говорят о своих покупательских привычках и мотивах покупки» [175, р. 4–13].
В 90-х гг. ХХ в. наблюдается резкий скачок в формировании новых подходов, идей и теорий, подтолкнувших развитие нейроэкономики и нейромаркетинга. Теория триединого мозга, популярная среди приверженцев нейромаркетинга, разработанная нейробиологом Полем МакЛином в 1990 г., утверждает, что человеческих мозг разделен на три различных функциональных блока (рис. 2).
Глубочайший слой – мозг рептилии (R-комплекс), который контролирует примитивную сторону человеческого существа и такие рефлексы, как выживание и размножение. Его задача – очень быстро решать, какая стратегия поведения должна быть использована (действовать, отступить или подождать) в целях удовлетворения основных потребностей (физиологических, сексуальных, безопасности, защиты территории и т. д.).
Мозг млекопитающего, или лимбическая система, отвечает за эмоции, которые передаются в рептильный мозг как хорошее или плохое ощущение, тем самым готовя базу для принятия решения. Данная система связана с эмоциями, чувствами, вниманием, общим настроем, воспоминаниями, отношениями с другими людьми.

Рис. 2. Триединый мозг [114]
Наружный слой коры мозга (неокортекс) управляет познавательной деятельностью, памятью. Он анализирует и решает проблемы, использует язык и логику, отвечает за рациональную память и творческое мышление. Его решения учитывают предыдущий опыт, убеждения, личные ценности, самооценку [114].
Каждая из этих частей играет особую роль: неокортекс (рациональный мозг) думает, лимбическая система (эмоциональный мозг) чувствует, рептильный мозг принимает решения. Работа с потребительским поведением в контексте нейромаркетинга предполагает изучение всех трех блоков [167].
За последние десять лет методы и идеи нейробиологии привлекли внимание исследователей в области маркетинга и потребительского поведения, и гибридная наука получила название нейромаркетинг. Термин «нейромаркетинг» был предложен нобелевским лауреатом по экономике 2002 г. Алем Шмидтом (Ale Smidt), профессором маркетинга в университете Эразмуса в Роттердаме [147, р. 530–535].
Первое научное исследование в области нейромаркетинга было проведено Ридом Монтегю (Read Montague), профессором нейробиологии Медицинского колледжа Бейлора в 2003 г. Широко известные и неоднозначно воспринимаемые результаты данного исследования о восприятии брендов Кока-кола и Пепси-кола были опубликованы в журнале «Нейрон» («Neuron») в 2004 г. [160, р. 131–135]. Первая международная конференция, полностью посвященная нейромаркетинговым исследованиям, была проведена в 2004 г. в США [31]. Вопросы этики нейромаркетинговых исследований впервые были подняты в журнале «Nature Neuroscience» в 2004 г. в статье «Афера мозга» (Brain scam) [160, р. 131–135].
Таким образом, нейромаркетинг возник в начале 2000-х гг. и быстро приобрел большую популярность как в академической, так и деловой сфере [122, р. 231]. Однако, несмотря на стремительное развитие нейромаркетинга в последние годы, ни один конкретный ученый не может считаться основоположником – «архитектором» – нейромаркетинговой теории и практики.
В 90-е гг. ХХ в. – первую декаду 2000 г. стремительно развиваются исследовательские технологии нейромаркетинга. Наиболее известная из них создана в конце 1990-х гг. профессором Гарвардского университета Джерри (Джеральдом) Залманом и запатентована под названием «техника выявления метафор Залмана» (Zaltman Metaphor Elicitation Technique (ZMET)).
По словам П. Мартинеса, директора исследовательской группы Millward Brown, автора книги «Разум потребителя» (The consumer mind), существует значительный разрыв между тем, что потребители думают, говорят, делают или чувствуют. Следовательно, основной недостаток традиционных маркетинговых исследований заключается в том, что «<…> потребители сами себе противоречат, говорят, что они хотят, но делают то, что они чувствуют» [152, р. 5]. Таким образом, П. Мартинес утверждает, что нейромаркетинг может помочь маркетологам получить более объективную информацию о потребителях, чем та, что может быть получена с помощью таких традиционных методов маркетинговых исследований, как опросы и интервью. П. Мартинес предполагает, что наиболее эффективный способ применения нейронауки в рамках методологии маркетинга – сочетание качественных, количественных методов маркетинговых исследований и нейроисследований, так как они будут дополнять и поддерживать друг друга, давая богатейшую информацию для маркетинговой деятельности предприятия.
Исходя из общей точки зрения, нейробиологические методы в маркетинговых исследованиях используются для изучения потребительского поведения, процессов принятия решений, роли эмоций в процессе принятия решения о покупке посредством задействования инструментов нейробиологии. Некоторыми исследователями проводится четкое разграничение между потребительской нейробиологией, которая заключается в проведении академических исследований на стыке нейронауки и психологии потребителя, и нейромаркетингом, который представляет собой использование в коммерческих целях результатов нейроисследований для воздействия на потребителя в ситуации выбора [140, p. 2].
Одно из качеств нейромаркетинга, как стремительно развивающейся области знаний о потребительском поведении, – это гибкость и пластичность (malleability) [147]. Это свойство выражается в том, что специалисты в области маркетинга по-разному воспринимают разработку и практическое применение методологии нейромаркетинга. Различное понимание предназначения науки – проблема не новая, однако, по мнению исследователей в области маркетинга, в настоящее время более актуальной задачей является поиск новых взаимосвязей и заполнение научно-практического пробела в оформлении нейромаркетинга как науки, а также формирование новой модели маркетинговых исследований, создание механизма междисциплинарных отчетов о маркетинговых исследованиях с участием представителей нейробиологии, маркетинга и бизнеса.
Фактически нейромаркетинг представляет собой сочетание трех научных областей, которые позволяют комплексно исследовать поведение потребителей:
? нейробиология – наука о нервной системе человека, его мозге, его функциях и анатомии, о периферической нервной системе, которую он контролирует. Нейробиология может рассказать о состояниях мозга, его физиологических реакциях, которые сопровождают контакт человека с внешними раздражителями, в том числе и с рекламными материалами;
? поведенческая экономика – отрасль экономической теории, изучающая психологические особенности человеческого восприятия и поведения. Учет этих особенностей дает возможность улучшить объясняющую способность экономической теории путем включения в нее дополнительных предпосылок, более точно описывающих поведение человека в той или иной ситуации;
? социальная психология – наука о том, как люди думают и действуют при фактическом или гипотетическом присутствии других людей. В последнее время социальная психология все больше фокусируется на влиянии несознательных процессов на человеческое поведение и на том, как сознательные и подсознательные процессы совместно протекают в момент выбора [15, с. 328–337].
Нейромаркетинг представляет собой практическое приложение связанных с психологией и физиологией человека комплекса наук к маркетинговой деятельности. Тем не менее на сегодняшний день отсутствует единое понимание того, что же такое нейромаркетинг. В зарубежной литературе рассматриваются различные точки зрения о месте нейромаркетинга в комплексе наук. Чаще всего нейромаркетинг рассматривается как новый метод маркетинговых исследований [152]; как современная инновационная технология получения и анализа информации о нейрофизиологических реакциях потенциального покупателя (объекта коммуникационного воздействия) на те или иные внешние раздражители для применения результатов этих исследований, чтобы повысить результативность маркетинговых коммуникаций [29, с. 189–194]; как пограничная наука или инструмент управления [122, p. 230–237]. Рассмотрим несколько подходов к определению нейромаркетинга, существующих в отечественных и зарубежных источниках.
Инструментальный подход. Нейромаркетингом называется использование сканирующих мозг нейробиологических технологий для объективной оценки подлинных (не «зашумленных» сознанием) реакций потенциального потребителя на различный маркетинговый материал, будь то визуальная или аудиальная реклама, бренд или бизнес-стиль [77].
Ф. Конеджо и соавторы определяют нейромаркетинг как современный вид исследовательской и практической деятельности в сфере маркетинга, связанный с исследованием реакции мозга на рекламу, сообщения и образы, с помощью визуализации на основе функциональной магнитно-резонансной томографии [106, р. 72]. Нейромаркетинг в данном случае рассматривается как инструмент, способ изучения бессознательной реакции потребителя на маркетинговые и рекламные стимулы.
В последнее время исследователи все чаще указывают на то, что нейромаркетинг – больше, чем простое применение методов нейровизуализации в маркетинге продуктов и услуг или брендинге [148, p. 199–204.]
Клиентоориентированный подход. Нейромаркетинг или потребительская нейронаука – это методология, которая исследует подсознательные причины принятия решений о покупке товаров или услуг в зависимости от того, какие области мозга активированы [123]. Некоторые исследователи полагают, что нейромаркетинг должен быть переименован в «потребительскую нейронауку» [136, p. 272–292]. Однако отмечается, что нейромаркетинг – относительно новая и спорная междисциплинарная исследовательская область, компонент концепции маркетинга, с помощью которой можно интерпретировать психологические и нейропсихологические знания, необходимые для понимания поведения клиентов [127]. Это исследовательский процесс, который изучает механизмы человеческого мозга, используемые потребителем для обработки маркетинговой информации с помощью конкретных инструментов. Таким образом, нейромаркетинг помогает предпринимателям управлять собственной деятельностью на рынке, поведением потребителей и деловым общением с партнерами [145]. В данном подходе нейромаркетинг выступает как способ улучшения взаимоотношений с клиентами на основе понимания реакций мозга на побудительные стимулы маркетинговых коммуникаций. Однако, как отмечают некоторые исследователи, относительно легко измерить, понравилось ли или запомнилось ли рекламное сообщение, но значительно труднее определить, привело ли оно к покупке [114].
Такой подход предполагает широкий спектр возможных вариаций исследований. Так, например, сами нейромаркетинговые подходы можно условно подразделять на две категории: мягкий (soft) и инструментальный (hard) нейромаркетинг.
Мягкий нейромаркетинг предполагает активное использование уже накопленных к настоящему времени знаний из психологии и психофизиологии (к примеру, экспериментально доказанное отсутствие различий в восприятии цветов и их выборе при различных психофизиологических состояниях человека), используется в построении брендов по различным моделям, опирается на участие психологов при разработке рекламных материалов и планировании коммуникаций и их контекстуального наполнения.
Инструментальный нейромаркетинг связан с разработкой и обоснованием маркетинговых инструментов на основе нейробиологических и психофизиологических исследовательских процедур (исследовании эмоциональных реакций и мотиваций потребителя через применение нейро- и психофизиологических методик исследований) [26].
Стимулирующий подход. Согласно данному подходу, нейромаркетинг – это технология, направленная на стимулирование потребительского спроса, и использующая те закономерности работы человеческой психики, которые, как правило, самим клиентом не осознаются, а порой, в силу специфичности подобного знания, даже и не предполагаются в собственном поведении [42]. Нейромаркетинг здесь предстает как комплекс способов мотивирования и побуждения потребителя к определенным действиям (покупке).
Подводя итог рассмотренным подходам к определению сущности нейромаркетинга, можно сделать вывод, что в большинстве источников нейромаркетинг рассматривается как новое направление маркетинговых исследований, которое позволяет улучшить коммуникационную политику предприятия на основе заимствования методов, приемов или идей из области нейробиологии [126, р. 8].
В более широком смысле нейромаркетинг – новая область, объединяющая междисциплинарные исследования психологии и нейронауки для потребностей экономики. Цель нейромаркетинга – изучать влияние на потребителя, оказываемое рекламой и маркетинговыми стимулами, на основе применения нейробиологических методов [149, р. 34].
Таким образом, оформление нейромаркетинга как науки влечет за собой проектирование и разработку новой поведенческой модели, связывающей маркетинговые стимулы с определенным потребительским поведением. Классические методы исследования потребительского поведения делают упор на видимых раздражителях, которые запускают те или иные реакции покупателей. Однако в результате нейромаркетинговых исследований ученые подошли к невидимой стороне потребительского поведения, что приводит к углублению и значительной переработке методологии классических маркетинговых исследований. Это не следует понимать как попытку отказаться от традиционных маркетинговых исследований, а, скорее, как расширение сферы научного познания экономического поведения.
Как указывают некоторые авторы, комплексное определение нейромаркетинга должно учитывать многообразие маркетинговых исследований потребительского поведения. Если нейроэкономика определяется как «применение методов нейронауки для анализа и понимания природы экономического поведения» [142, р. 344], то нейромаркетинг может быть определен как применение нейробиологических методов для анализа и понимания поведения потребителей в условиях рынка. Такое определение, с одной стороны, позволяет уйти от исключительно коммерческого использования предприятиями нейробиологических технологий для собственной выгоды. С другой же стороны, сфера применения нейромаркетинговых исследований расширяется от фокуса на потребительском поведении до уровня меж- и внутриорганизационных исследований и процессов [148].
На наш взгляд, нейромаркетинг представляет собой комплексное управление взаимодействием с потребителем на основе научно-обоснованного подхода к формированию продуктовой, ценовой, коммуникационной, сбытовой, сервисной политики с использованием методологии нейронауки. Нейромаркетинг – это прогрессивная междисциплинарная методология формирования научно-теоретической базы для разработки и практического применения методов и инструментов работы с потребителем, основанная на изучении нейрофизиологических реакций человека в области принятия решений и осуществления им экономического выбора.
Традиционно нейромаркетинг, возникший на стыке биологической и психологической науки, фокусируется на нейробиологических и когнитивных исследованиях поведения потребителей и изучении потребительских предпочтений. Современные нейромаркетинговые исследования основываются на предположении, что потребительские решения относятся либо к Системе 1, либо к Системе 2. Система 1 задействуется в тех случаях, когда потребители думают подсознательно, без особых усилий, быстро, эмоционально, и такая реакция на продукты или услуги, часто не может быть четко описана потребителем. Система 2 приводится в действие посредством методических сознательных рассуждений, является медленной и требует усилий. Эти две основные формы потребительского мышления не имеют самостоятельного значения как отдельные единицы, они часто взаимодействуют [24]. Нейромаркетинг позволяет решить такую исследовательскую проблему, как неочевидность или бессознательность потребительского выбора, когда потребители не в состоянии описать мотив покупки или причины неприязни к бренду.
Основная цель нейромаркетинга – объяснение процесса, протекающего в сознании потребителя и выявление скрытых причин совершаемого им выбора. Для измерения и последующего анализа данного процесса используются три ключевых метрики:
1) внимание – был ли замечен стимул, сообщаемый потребителю;
2) эмоциональное вовлечение – понравился ли данный стимул потенциальному потребителю;
3) память – запомнил ли он его [15, с. 328–337].
Нейромаркетинг включает оценку сенсомоторного, когнитивного и аффективного реагирования потребителей на маркетинговые раздражители и использует такие технологии, как функциональная магнитно-резонансная томография (ФМРТ, fMRT), электроэнцефалография (ЭЭГ, EEG), позитронно-эмиссионное сканирование (PET), магнотиэнцефалография (МЭГ, MEG), транкраниальная магнитная стимуляция (TMS), кожно-гальваническая реакция кожи (GSR), технология отслеживания движения глаз (aй-треккинг) для изучения потребительского поведения и др.
Инструментальные (hard) технологии исследования
Технологии картирования и визуализации мозга стали прорывом для когнитивной нейробиологии. До развития этих методов исследования строились на изучении животных и людей, получивших случайные травмы [15, с. 328–337]. Внедрение в практику когнитивных исследований новых методов функционального картирования головного мозга человека (прежде всего функциональной магнитно-резонансной томографии, изобретенной в 1990 г. японским биофизиком Сейджи Огава, а в 2000-х гг. уже применявшейся во множестве университетов США, Европы и Японии) реализуется именно в контексте междисциплинарных исследований.
Функциональная магнитно-резонансная томография (ФМРТ) (рис. 3) позволяет измерить приток крови к различным частям мозга во время выполнения задач или воздействия стимулов. Используются детальные трехмерные изображения, сгенерированные компьютером на основе обнаруженных колебаний кровотока в ответ на нейронную активность.

Рис. 3. Функциональная магнитно-резонансная томография
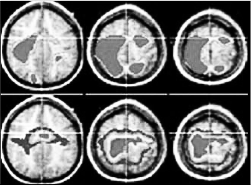
Например, на рис. 4 представлены сканы мозга во время сна и бодрствования. Спящий мозг (три нижних рисунка) воспроизводит нейронную активность, напоминающую ту, что предшествовала сну во время бодрствования (три верхних рисунка).

Рис. 4. Функциональная магнитно-резонансная томография мозга во время сна и бодрствования [135]
Одно из достоинств ФМРТ – возможность исследовать глубокие структуры мозга, обеспечить возможность сравнительно продолжительного наблюдения активности мозга испытуемого во время действия конкретных стимулов или раздражителей. К недостаткам данного метода относится необходимость предельной неподвижности субъекта исследования, связанная с дискомфортом для испытуемых.
Электроэнцефалография (ЭЭГ) (рис. 5) – метод исследования головного мозга, основанный на регистрации его электрических потенциалов. Анализ спонтанной электрической активности мозга, записанный с помощью электродов, размещенных на коже головы с помощью токопроводящей пасты.
Рис. 5. Электроэнцефалография (ЭЭГ)
Устройства являются портативными, что расширяет возможности исследований, но аппарат записывает только данные поверхностных слоев коры головного мозга. Наблюдение за активностью коры головного мозга предоставляет много информации о различных состояниях сознания, так как амплитуда мозговых волн коррелирует с определенным состоянием человека: бодрствование (бета-волны), отдых (альфа-волны), спокойствие (тета-волны), поверхностный и глубокий сон (дельта-волны).
На рис. 6 показан результат исследования респондента после удачной покупки, полученный с помощью электроэнцефалограммы с высоким разрешением.
Основное преимущество ЭЭГ – мобильность, наличие переносных устройств, однако на ограничения данного метода влияет тот факт, что электрическая проводимость может значительно изменяться от человека к человеку и во времени, что затрудняет определение локации сигнала.
Рис. 6. Анализ данных, полученных с помощью электроэнцефалограммы с высоким разрешением [107]
Транкраниальная магнитная стимуляция (TMS) – новая техника в нейромаркетинге, предоставляющая некоторые преимущества по сравнению с уже существующими методами исследования. Метод основывается на использовании принципов электромагнитной индукции. При создании слабых электрических токов используются быстро меняющиеся магнитные поля, возникает определенная активность в некоторых частях головного мозга, при этом пациент испытывает минимальный дискомфорт, и имеется возможность изучения функционирования мозга [73].
Позитронно-эмиссионное сканирование (PET) представляет возможность исследования изображений, на которых яркими красками показаны отделы мозга, где нервные клетки работают на решение каких-то психических задач. Пациенту вводят безвредную радиоактивную жидкость (рис. 7).
Рис. 7. Образ головного мозга, полученный с помощью позитронно-эмиссионного сканирования (PET) [110]
Магнитоэнцефалография (МЭГ) – позволяет измерить магнитное поле, вызванное электрической активностью головного мозга, локализовать источники активности нейронов коры головного мозга, связанные с выполнением той или иной экспериментальной задачи (рис. 8).
МЭГ позволяет определять более и менее активные участки мозга. Этот метод связан с проведением измерений с молниеносной скоростью в 1/1000 секунды, т. е. с той скоростью, с которой работает мозг. Преимущества магнитоэнцефалографии – бесконтактность метода регистрации, отсутствие искажений от кожи и т. п.
Рис. 8. Магнитоэнцефалография (МЭГ)
Топография устойчивого состояния является методологией для наблюдения и измерения деятельности человеческого мозга, регистрирующая мозговую электрическую деятельность (электроэнцефалограмма), в то время как участники рассматривают аудиовизуальный материал и/или выполняют психологическую задачу. Данный метод позволяет визуализировать бдительность мозга, рабочую память, долгосрочную память, эмоциональные процессы, а также нарушения функций мозга, такие как шизофрения и дефицит внимания.

Рис. 9. Браслет для измерения гальванического сопротивления кожи
Измерение гальванического сопротивления кожи позволяет измерить уровень физиологического и психологического возбуждения в зависимости от влажности, поскольку стресс и возбуждение повышают потливость кожи (рис. 9).
Исследование гальванического сопротивления кожи позволяет выявить сильные эмоции с помощью двух электродов, путем измерения электрической активности желез, вырабатывающих пот на ладонях и кончиках пальцев, которые наиболее чувствительны к эмоциям и мыслям. Он используется, чтобы помочь определить ситуации, которые вызывают стресс и тревожность.
Ай-треккинг реализуется с помощью аппарата ай-треккера, отслеживающий движение глаз и аккомодацию зрачка при разглядывании рекламного раздражителя (рис. 10). Данная технология используется в исследованиях по разработке дизайна и программного проектирования в области нейромаркетинга. Наиболее популярный метод измерения движения глаз состоит в использовании камеры, которая отслеживает движение зрачка.
Рис. 10. Устройство для проведения ай-треккинга
Когнитивный анализ – аналитическая цифровая модель, которая объединяет результаты, полученные с помощью ЭЭГ, кожно-гальванической реакции и ай-треккера, чтобы дать целостное представление о реакции человека на раздражитель. Этот метод предотвращает неправильную трактовку биометрических показателей [147, р. 530–535].
Технологии биологической обратной связи (БОС) представляют собой один из диагностических методов, который позволяет управлять функциональным состоянием человека. Данный метод прежде всего связан с обучением навыкам саморегуляции и улучшением способностей человека противостоять стрессу. Суть метода биологической обратной связи состоит в визуализации на экране компьютерного монитора или в аудио-форме текущих значений физиологических показателей пациента, определяемых клиническим протоколом. Протокол – совокупность условий, регламентирующая проведение процедуры биологической обратной связи (рис. 11).
Рис. 11. Схематическое изображение метода биологической обратной связи [81]
Протоколы биологической обратной связи разделяются на две большие группы:
? направление, обозначаемое в англоязычной литературе понятием «neurofeedback», в рамках которого осуществляется модификация различных параметров ЭЭГ головного мозга (амплитуды, мощности, когерентности и т. д. основных ритмов ЭЭГ), именуемое также «neurotherapy»;
? направление, обозначаемое понятием «biofeedback», в рамках которого подвергаются изменению показатели вегетативной (симпатико-парасимпатической) активации (проводимость кожи, кардиограмма, частота сердечных сокращений, дыхание, электромиограмма, температура, фотоплетизмограмма и др.).
Пример пилотного исследования с использованием метода БОС для оценки влияния педагогических технологий на психическое и физиологическое состояние студентов приводится в главе 3.
Аппаратные методы нейроисследований, упомянутые выше, являются наиболее часто применяемыми сегодня, но существуют и другие способы, которые доступны нейромаркетологам.
Мягкие (soft) технологии исследования
Метаморфная модель Дж. Зальтмана (ZMET). К наиболее известным мягким технологиям исследования относится методика ZMET, методика выявления взаимосвязанных конструкций (влияние мысли на поведение), которая была разработана в конце 1990-х гг. гарвардским профессором Джерри Зальтманом. Суть ZMET сводится к «прощупыванию» подсознания человека с помощью наборов специально подобранных картинок, вызывающих положительный эмоциональный отклик и активизирующих скрытые образы-метафоры, стимулирующие покупку (рис. 12).
Рис. 12. Метаморфная модель Дж. Зальтмана [21]
На основе выявленных образов конструируются графические коллажи, закладываемые в основу рекламных роликов. Результаты исследования отношения студентов к университету, специальности и кафедре по адаптированной методике ZMET представлены в главе 3.
Мнемонические техники – совокупность специальных приемов и способов, облегчающих запоминание покупателем рекламной информации на основе использования ассоциаций (связей). Данный метод используется маркетологами в области нейминга. Для того чтобы потребитель, принимающий решение о покупке среди множества торговых марок, выбрал и купил конкретную марку товара, необходимо создать такое название товара-новинки, которое быстро запомнится вне зависимости от его желания. Среди мнемотехник можно выделить рифмы, резонанс повторов, намек на выгоду товара в названии и др.
Фоносемантический анализ. Одним из методов, позволяющих корректно провести нейминг нового товара, является фоносемантический анализ [70]. Каждый звук речи обладает определенным подсознательным значением. Следовательно, использование метода раскрывает качественные характеристики слов и словосочетаний по их звучанию, а не по значению. Анализ может проводиться с помощью компьютерной программы или онлайн-приложения, что подтверждает доступность его использования. Например, в таблице 1 представлены результаты фоносемантического анализа названия вуза «Политех». При анализе необходимо учитывать следующее: если коэффициент ? 2,5 – выражен первый признак шкалы, если коэффициент ? 3,5 – выражен второй признак шкалы, если же он находится в промежутке 2,5–3,5, то по этой шкале выраженности нет. Серым цветом выделен первый признак шкалы, черным – второй. Чем больше выраженных признаков, тем сильнее эмоционально-подсознательная значимость этого слова [57].
Таблица 1
Результат фоносемантического анализа слова «Полит?х» [57]
Результатом применения фоносемантического анализа является выбор такого названия нового продукта, которое вызывает положительные эмоции у потребителя, а также формирует необходимые образ и ассоциации, выделяя верные атрибуты позиционирования и ценности.
Первая фирма, которая открыла нейромаркетинговую лабораторию, – BrightHouse, это произошло в 2001 г. в Атланте (США) [96]. Синтез нейробиологии и маркетинга стали привлекать внимание специалистов из разных областей – науки, бизнеса, журналистики. Нейромаркетинг начал рассматриваться в качестве «применения методов нейробиологии к вопросам мира рекламы». Международный журнал психофизиологии называет нейромаркетинг «точкой приложения методов нейробиологии, для анализа и понимания поведения человека по отношению к рынкам и маркетингу» [148].
В настоящее время увеличилось количество частных исследовательских фирм в области нейромаркетинга (рис. 13).
Рис. 13. География частных исследовательских фирм в области нейромаркетинга [174]
НейроФокус (NeuroFocus) – американская исследовательская компания, специализирующаяся на проведении нейрмаркетинговых исследований, с 2008 г. была поглощена глобальной исследовательской компанией и теперь называется Nielsen Consumer Neuroscience [171].
Millward Brown – британская исследовательская компания, имеющая представительства в Европе, Америке, Азии, Ближнем Востоке, Африке [157].
Neurosense – лондонская исследовательская компания, созданная исследователем Джеммой Калверт, – это первая фирма, проводившая сканирование мозга с помощью ФМРТ-сканера для коммерческих нужд, в списке ее клиентов есть такие компании, как BBC, Coca Cola, Ford, Heinz, Intel и L’Oreal [169].
Neuro-Insight – компания, основанная профессором Ричардом Силберштейном в 2005 г. Реализует исследования в США, Великобритании, Германии и Австралии и предлагает услуги по нейромаркетинговым исследованиям в области коммуникаций [166].
Западные исследователи в области нейромаркетинга отмечают, что для многих организаций использование нейромаркетинга выходит за рамки банального воздействия на потребителя с целью побудить совершить покупку. Однако существует определенное предубеждение относительно нейромаркетинга как технологии манипулирования потребителем, что не способствует преодолению пропасти между нейроисследованиями и маркетинговой деятельностью [157]. На основе анализа зарубежных источников можно выделить наиболее популярные направления нейромаркетинговых исследований:
Коммуникативные технологии компании. Эффективность рекламы и брендинга. Маркетологи и нейробиологи изучают рекламные ролики, чтобы выявить элементы рекламы, влияющие на внимание потребителя и создающие лояльность к бренду [197]. В зарубежных источниках по нейромаркетинговым исследованиям приводятся результаты экспериментов, демонстрирующие как когнитивные и аффективные элементы рекламных объявлений влияют на активность различных центров головного мозга [85; 138]. Элементы рекламного сообщения или даже разные виды рекламы генерируют различные типы мозговой активности, что, возможно, приводит к различной эффективности средств коммуникаций. В настоящее время такие исследования носят разрозненный характер, и системное представление о применении нейроисследований в маркетинговых коммуникациях отсутствует.
Осуществление потребительского выбора и процесс покупательского поведения. Потребительский выбор и принятие решений также являются популярной темой для нейромаркетинговых исследований, хотя им еще предстоит найти достойное освещение в современной маркетинговой литературе. Например, в одном исследовании изучалась разница между предсказуемым и непредсказуемым потребительским выбором. Предсказуемость выбора товара обусловливалась, с одной стороны, частотой использования товара, а с другой – временным разрывом между выбором и воздействием маркетинговых стимулов на потребителя. Эти исследования показали, что различные области мозга активируются в зависимости от степени предсказуемости выбора потребителя. В случае непредсказуемого выбора товара потребителем выявляется активность головного мозга в участках, связанных с молчаливым проговариванием и оценкой награды. Были также обнаружены гендерные различия, проявляющиеся в процессе потребительского поведения [91; 92; 93].
Ведущие западные исследовательские и профессиональные организации в области маркетинговой деятельности призывают нейромаркетологов не ограничиваться изучением только рекламы и потребительского выбора. Ниже представлены направления исследований, рекомендованные Институтом научного маркетинга США (The Marketing Science Institute), Институтом изучения деловых рынков США (The Institute for the Study of Business Markets), зарубежными академическими журналами топ-уровня по маркетингу:
Доверие потребителей. Одним из интересных направлений нейроисследований в маркетинге должно стать изучение степени доверия потребителей к бренду, рекламе, и построение на данной основе долгосрочных отношений между компанией, потребителями, партнерами и т. д. Является ли доверие результатом многократно повторенных маркетинговых стимулов? Или же доверие к товару или бренду подобно чувству безопасности, которое человек ощущает по отношению к близким друзьям и членам своей семьи? Может ли это быть подтверждено активностью определенных участков головного мозга в результате соответствующих нейроисследований? Изучение и глубокое понимание природы потребительского доверия, несомненно, расширит возможности для изучения факторов формирования доверия потребителей, а также предоставит возможность фирмам строить долгосрочные доверительные отношения с клиентами и собственными служащими для достижения взаимовыгодного сотрудничества [148].
Ценообразование. Цена как один из важнейших инструментов комплекса маркетинга, как ключевой элемент позиционирования товара, представляет собой стратегическую задачу фирмы и критический аспект в процессе принятия потребителем решения о покупке. Одно интересное исследование поведения потребителей изучало их ошибки, допущенные в процессе обработки цены, заканчивающейся на 0,99, а не на целое число. Оказалось, что люди обращают меньше внимания на последние, чем на первые цифры ценника [90, р. 771–802]. Другие исследования связаны с изучением социальной роли цены, и уточнением, как индивидуальные различия потребителей могут влиять на восприятие ими цены [84, р. 30– 42]. Таким образом, в настоящее время все ценовые исследования в маркетинге акцентируются в основном на изучении психологии ценообразования и индивидуальном восприятии цены. Технологии нейровизуализации помогут ответить на следующие вопросы: обрабатывается ли информация о цене, какой эмоциональный отклик вызывает та или иная цена, в чем различие восприятие цен на массовые продукты, предметы роскоши или широко известные бренды.
Взаимодействие в маркетинговых процессах (между потребителями и продавцами, между партнерами и др.). В данном случае основными направлениями исследований может стать воздействие эмоциональной и рациональной составляющей человеческого поведения на процессы ведения переговоров и их результаты, а также на осуществление долгосрочного сотрудничества. В контексте маркетинговых исследований это, вероятно, поможет понять, когда и как потребители (а также партнеры по бизнесу) «позволяют» эмоциям взять верх над рациональными аспектами поведения в процессе переговоров. Это может, в конечном счете, способствовать совершению более выгодных сделок и сокращению случаев недовольства потребителя иррациональной покупкой и самим собой. Исследования с использованием функционального магнитно-резонансного сканирования (ФМРТ) показывают, что у тех, кто сотрудничает, проявляется активность в тех областях головного мозга, которые связаны с пониманием чужих намерений [153].
Таким образом, нейроисследования в маркетинге изучают непроизвольные нейрофизиологические реакции человека на стимулы, например, слова, сочетание цветов, запах, звук и т. п., и интерпретирует полученные данные с целью предоставления рекомендаций для улучшения процесса взаимодействия с потребителем. В рамках инструментальных исследований изучаются пульс, потоотделение, реакции головного мозга, движение зрачков и другие спонтанные реакции человека. Основная задача исследователя – изучение процессов взаимодействия сознания (разум, рациональное), мозга (подсознательного, иррационального), тела (моторных (двигательных), обаятельных, тактильных, вкусовых реакций), общества (социальных норм и законов, стадий развития, ментальных поведенческих реакций) в рамках экономического поведения человека [58].
Однако передовые нейроисследования недоступны большинству маркетологов, а тем более образовательным организациям, поскольку, во-первых, только крупные транснациональные корпорации и международные компании в состоянии проводить и финансировать такие исследования, а во-вторых, результаты таких исследований неохотно публикуются из-за боязни компаний потерять свои конкурентные преимущества.
Основные проблемы внедрения нейромаркетинга сводятся к следующим:
? закрытость исследований и обработки данных. C начала 2000-х гг. в мире появилось определенное количество агентств, предлагающих услуги томографии головного мозга (в частности, ФМРТ) для решения коммерческих проблем маркетинга. Появились фирмы, ориентированные на предоставление услуг по нейромаркетинговым исследованиям, – BrightHouse (США), Neurosense и Neuroco (Великобритания). Например, Центр экспериментальной психологии потребителей (The Centre for Experimental Consumer Psychology) в университете Уэльса (Бангор) сотрудничает со многими коммерческими фирмами, выпускающими потребительские товары, в том числе Unilever. К сожалению, большая часть результатов исследований таких центров составляют коммерческую тайну [119]. Отсюда – сравнительно небольшое количество опубликованных материалов в научных журналах;
? знакомство с нейромаркетингом большинства людей через новости, газетные публикации, научно-популярные издания, а не через научные статьи, что приводит к отсутствию объективных данных. Например, в известной книге М. Линдстрома указано, что поклонники продуктов Apple якобы испытывают чувство, схожее с религиозным поклонением, но первоисточник информации не указан и никаких комментариев к полученным выводам не дается [36];
? высокая стоимость нейромаркетинговых исследований и субъективизм обработки данных. В журнале Forbes была опубликована статья, в которой было написано, что в среднем нейромаркетинговые исследования с помощью ЭЭГ и ФМРТ обходятся в 40–50 тыс. долл. и они требуют длительного процесса анализа и обработки данных. Для статистической достоверности необходимы репрезентативные выборки испытуемых. Например, М. Линдстром указывает, что «одно из исследований длилось почти 3 года, обошлось примерно в 7 млн. долл., включало в себя несколько экспериментов, в которых были задействованы тысячи людей в качестве объектов исследования со всего мира, 200 ученых, 10 профессоров и врачей и комиссия по этике» [35, с. 20];
? стремление к использованию данных для манипулирования потребителем (этические аспекты использования нейромаркетинга). Насколько этично «залезать» в мозг покупателя? Не будут ли полученные данные использованы во вред потребителям и т. д.? Этика нейромаркетинговых исследований становится одним из наиболее часто обсуждаемых вопросов данной концепции.
Кроме того, ряд авторов утверждает, что вопрос о месте и роли исследований работы мозга в системе когнитивных исследований небесспорен. С методологической точки зрения, его использование не всегда в достаточной степени обосновано: не случайно поиск мозговых коррелятов психических процессов, особенно бурно разворачивавшийся в первые годы нового тысячелетия, получил шуточное название «новой френологии» [193]. Франц Галль, австрийский врач и анатом, и основатель френологии, на рубеже XVIII и XIX вв. искал «шишки мудрости», «шишки щедрости» и т. п. Исследования всемирно известного британского нейрофизиолога Семира Зеки, основателя нейроэстетики, выявили мозговые корреляты влюбленности и материнской любви. М. Фаликман в своей статье указывает, что подобные исследования «…не могут не вызвать закономерного вопроса: да, мы нашли некоторые мозговые корреляты психических процессов и форм деятельности (причем обычно это зоны мозга, задействованные в решении самых разных задач и в обеспечении множества разных других процессов), и что теперь? В теоретическом плане такие исследования порой оказываются тупиковыми. Вместе с тем функциональная магнитно-резонансная томография позволяет решать некоторые теоретические задачи, проверять предложенные ранее когнитивными психологами и лингвистами модели языка и познания, и даже устанавливать коммуникацию с больными, которые не способны иначе взаимодействовать с окружающими» [76].
Развитие нейромаркетинга в России неизбежно сталкивается не только с рядом вышеперечисленных трудностей, но и с недостаточной развитостью междисциплинарных научных коммуникаций, отсутствием их прозрачности, нехваткой специалистов и высокими сопутствующими материальными и финансовыми затратами.
Более 800 000 книг и аудиокниг! 📚
Получи 2 месяца Литрес Подписки в подарок и наслаждайся неограниченным чтением
ПОЛУЧИТЬ ПОДАРОКДанный текст является ознакомительным фрагментом.